PT
|
EN
LISBON DENTAL SPA
ESPECIALIDADES
EQUIPA
PROTOCOLOS
CASOS CLÍNICOS
CONTACTOS
+351 213 104 650 | +351 968 692 848 |
info@lisbondentalspa.pt
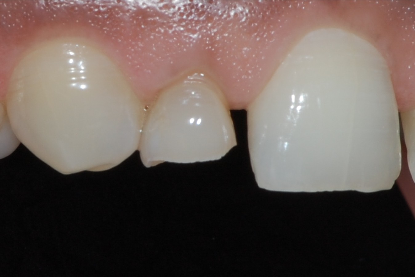
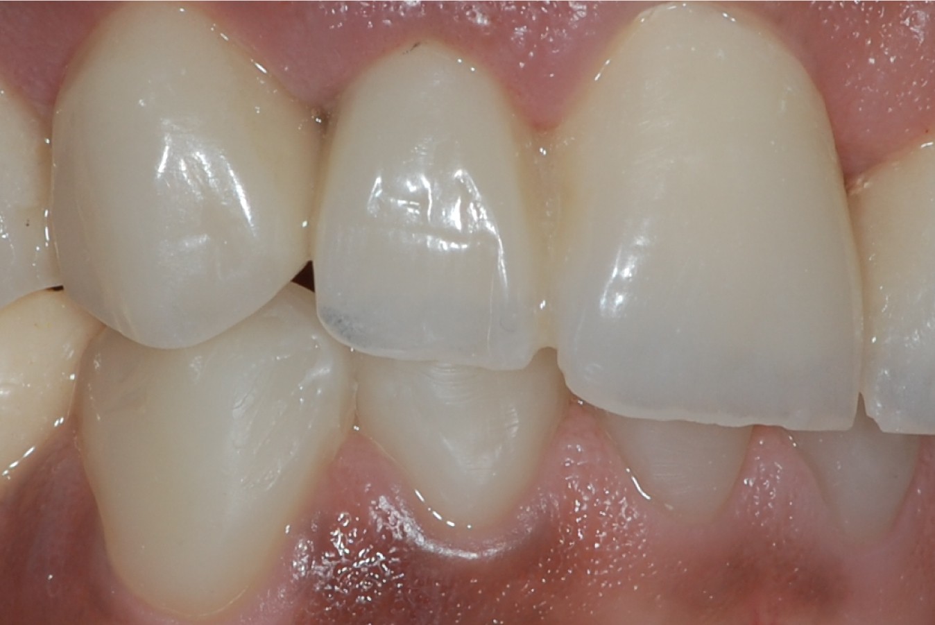
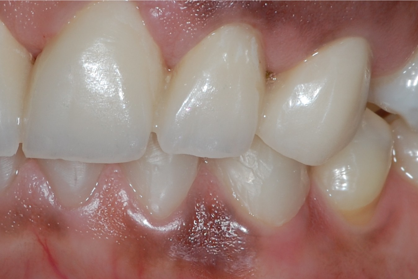
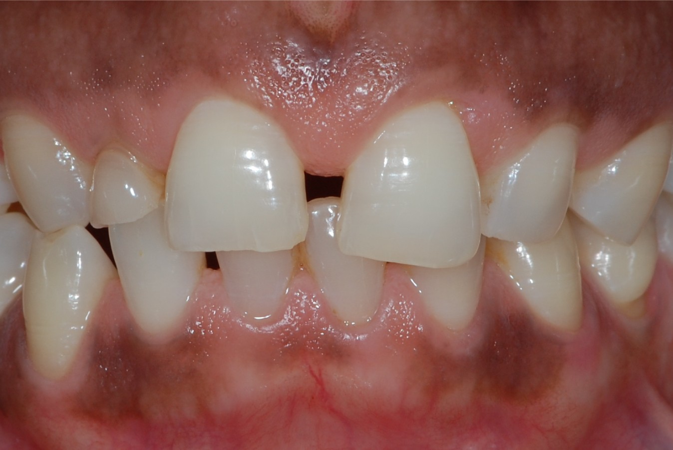
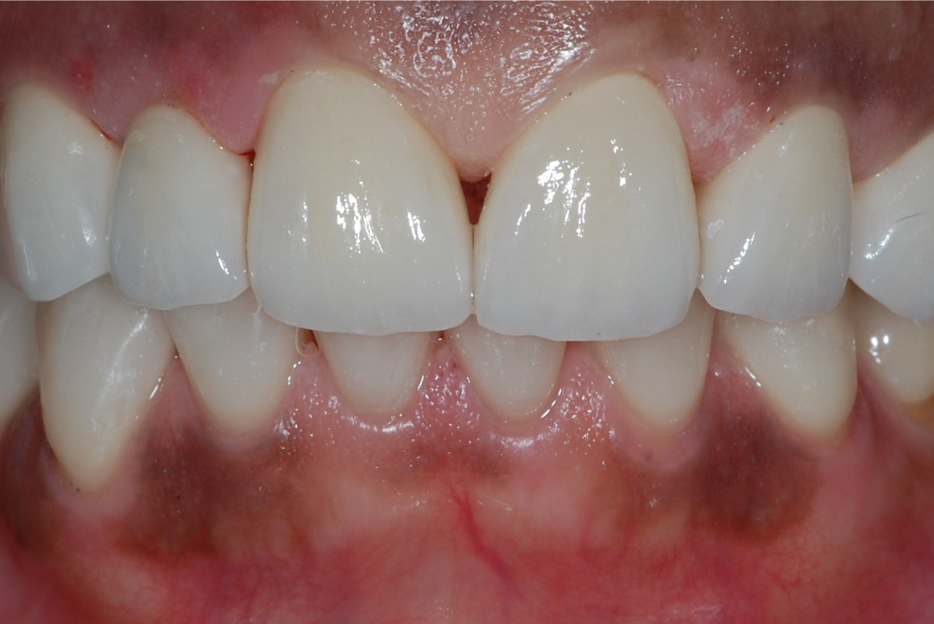
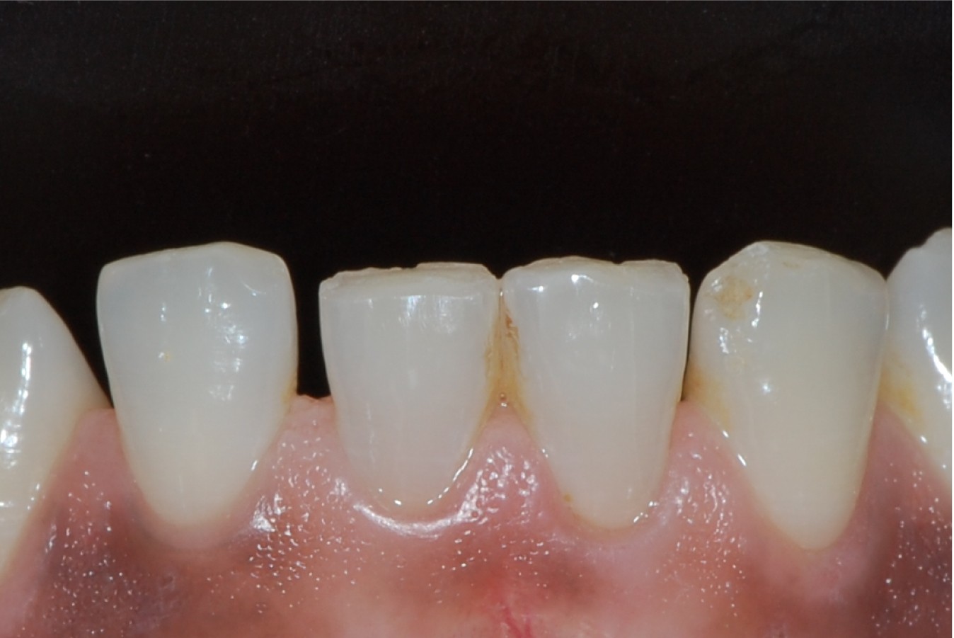
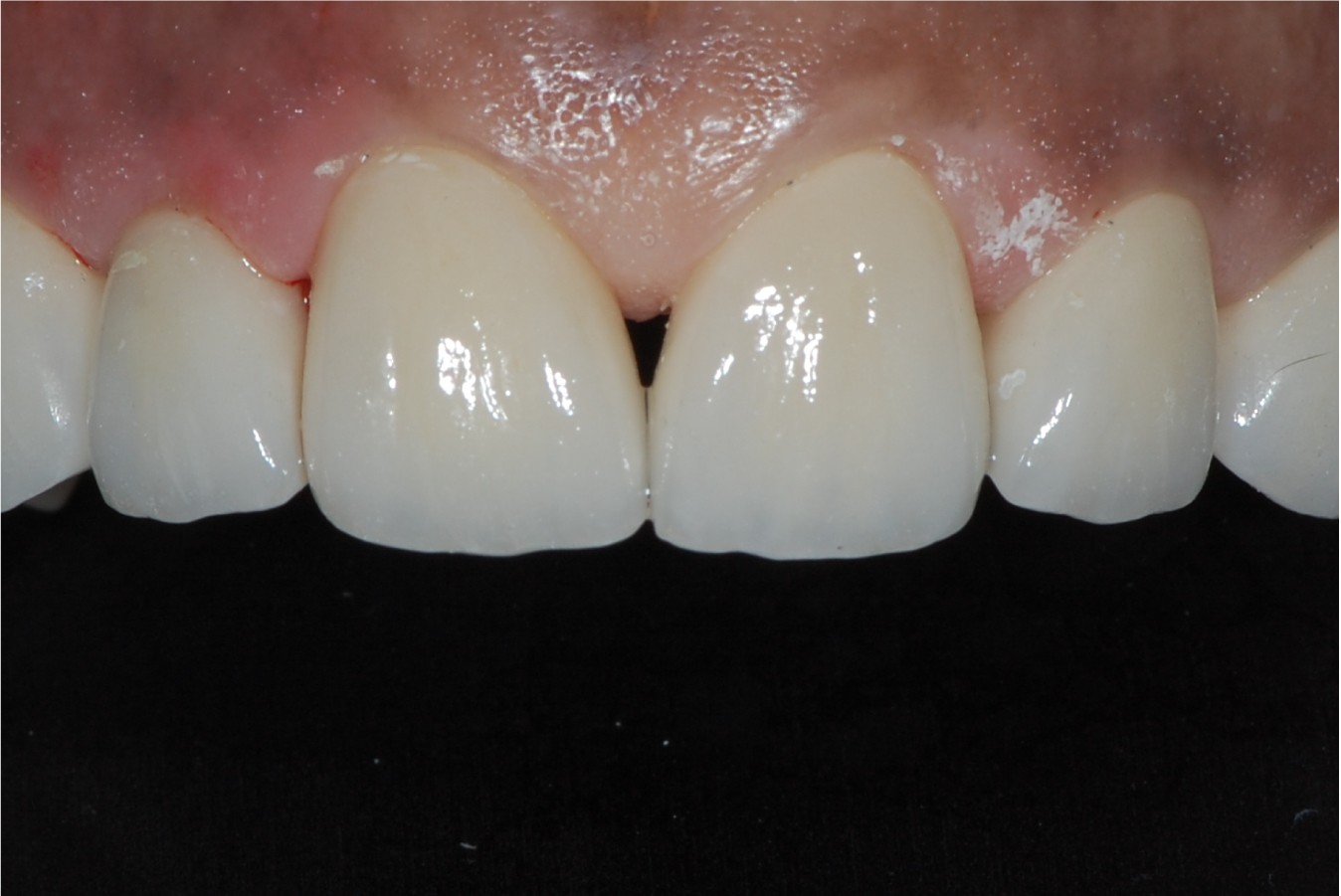
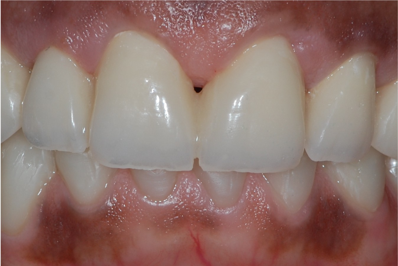
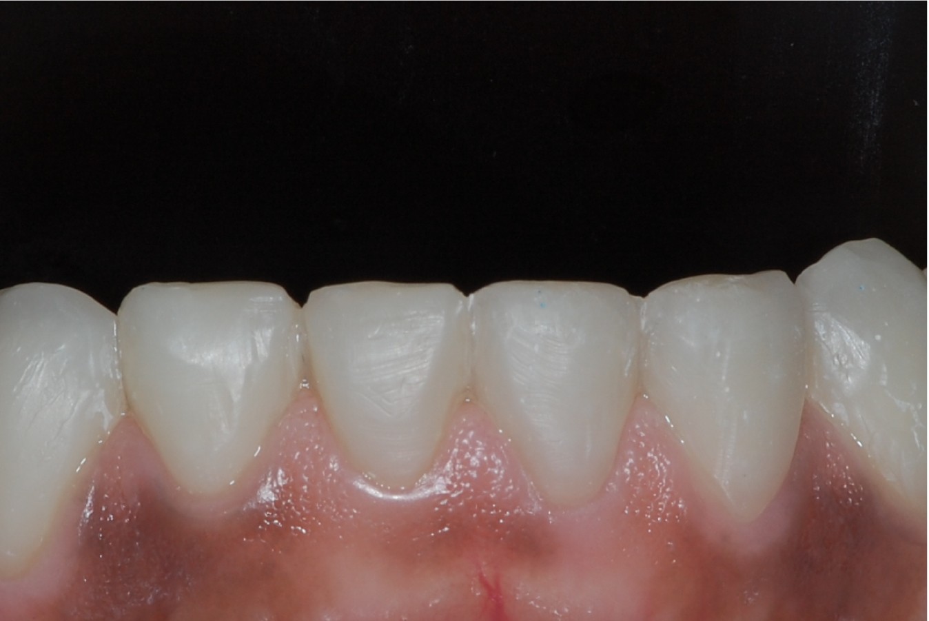
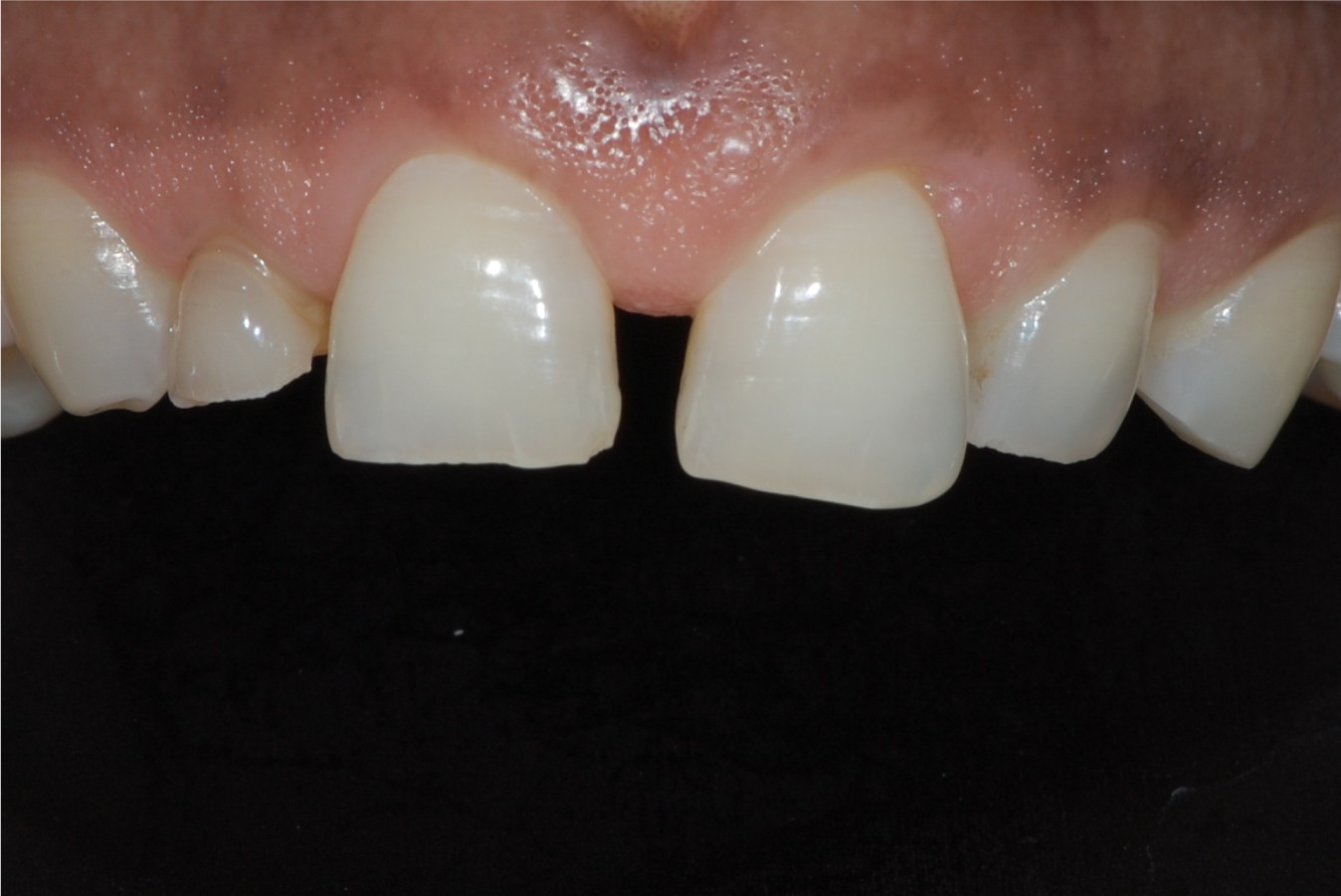
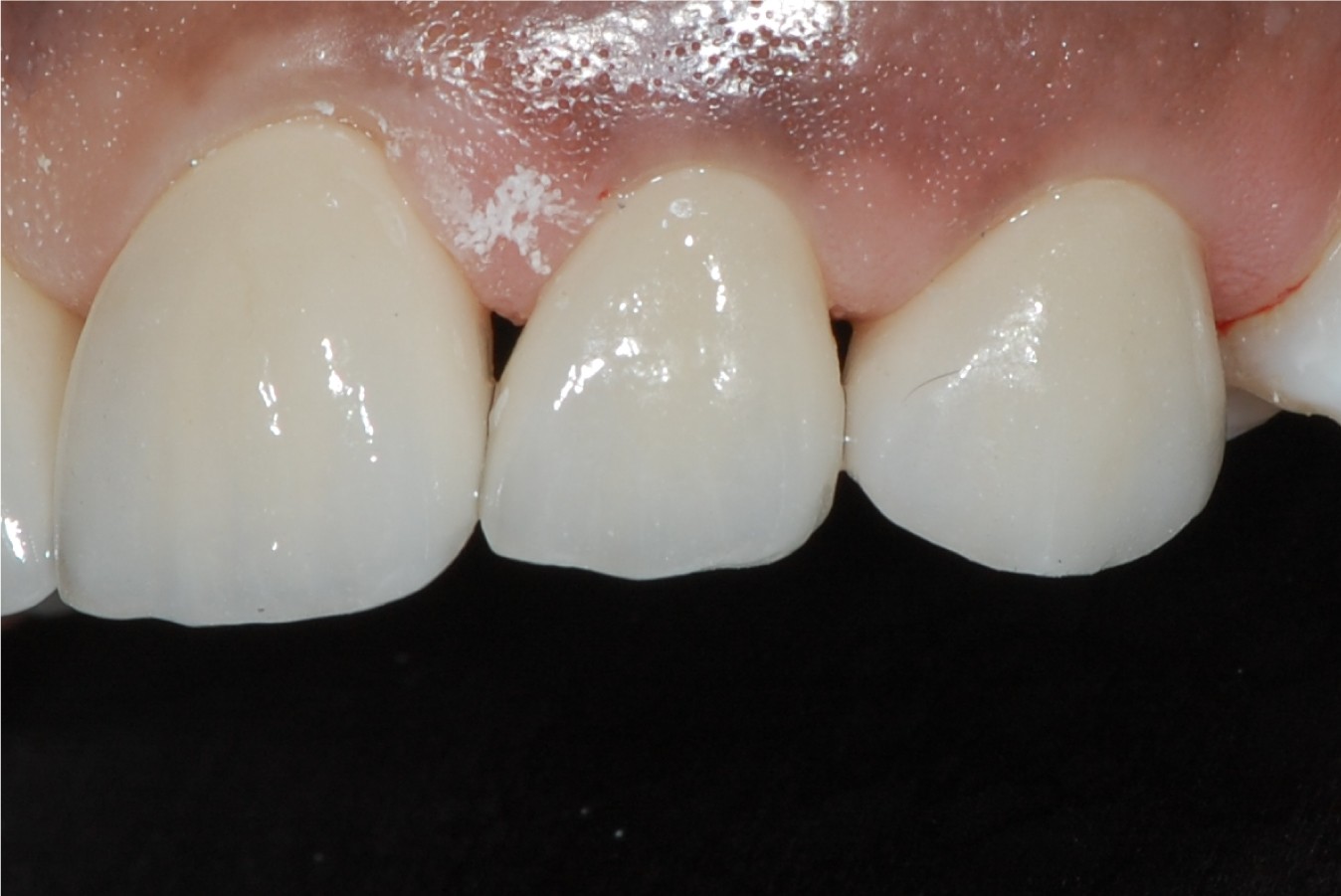
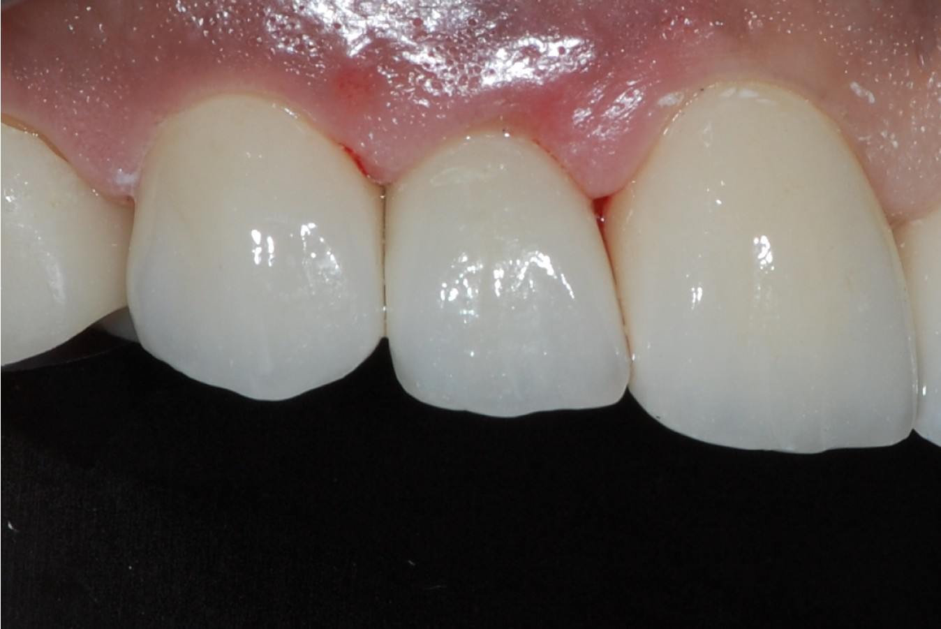
CASOS CLÍNICOS DA LISBON DENTAL SPA
Coroas, Facetas e Implantes