PT | EN

CASOS CLÍNICOS DA LISBON DENTAL SPA

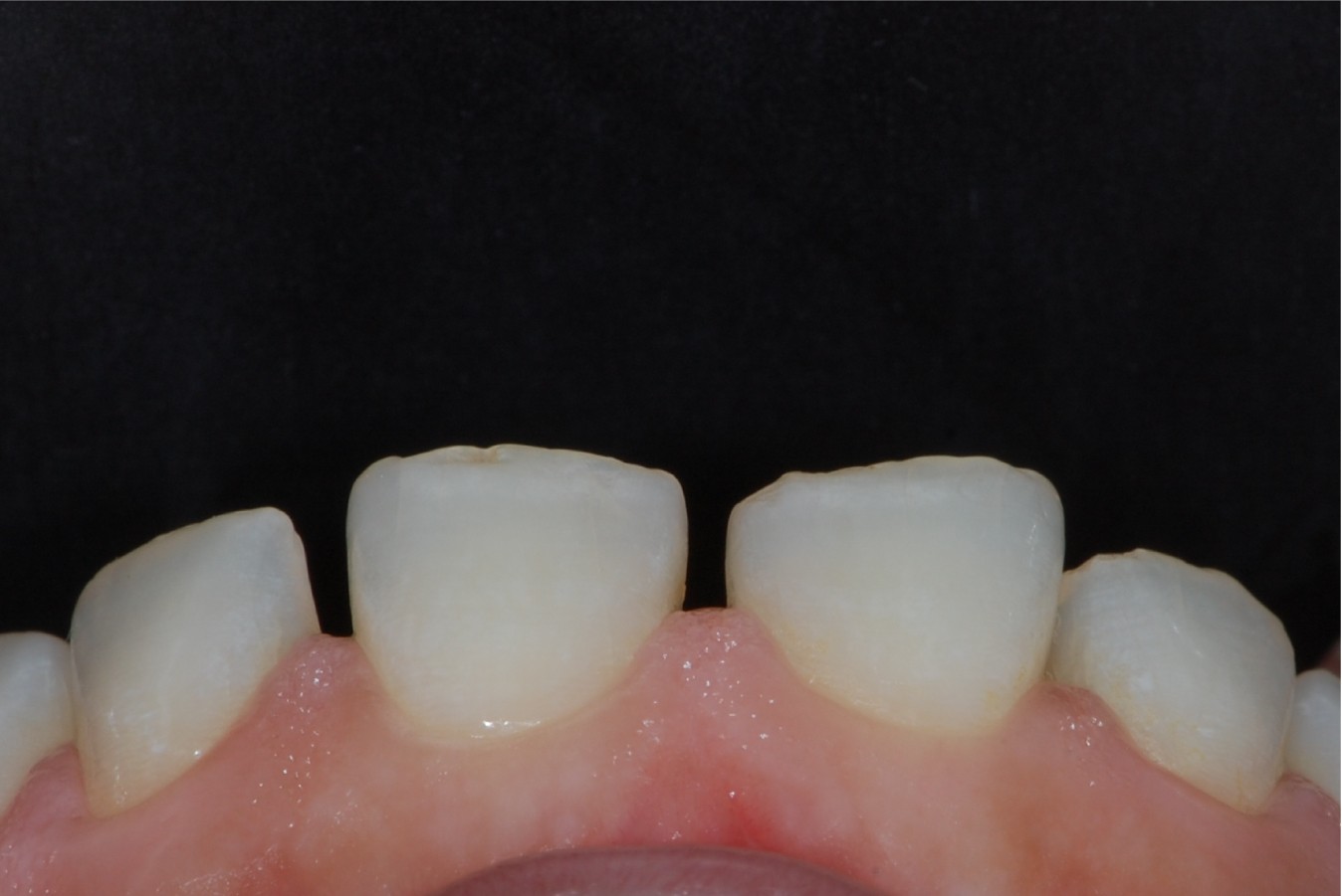
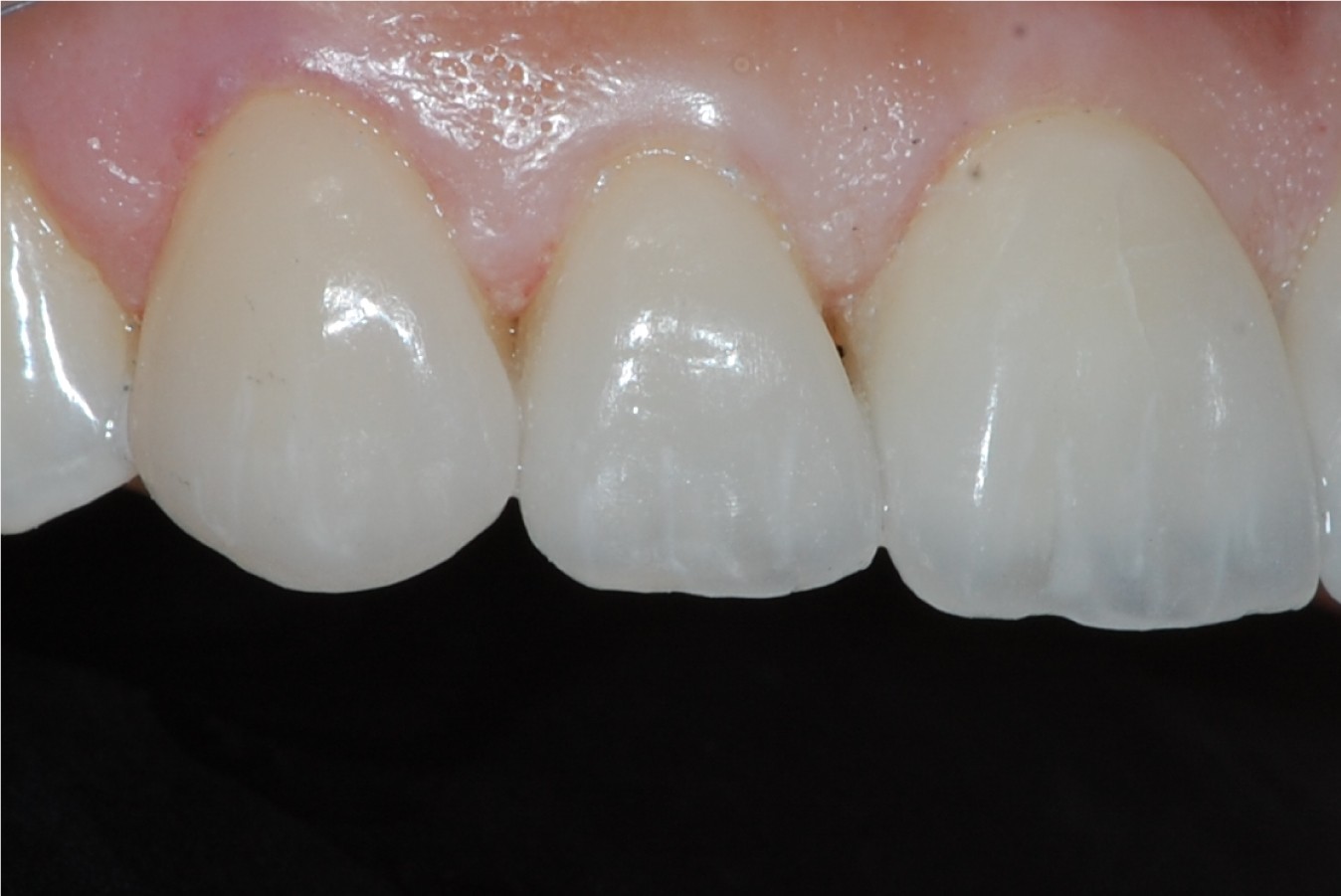
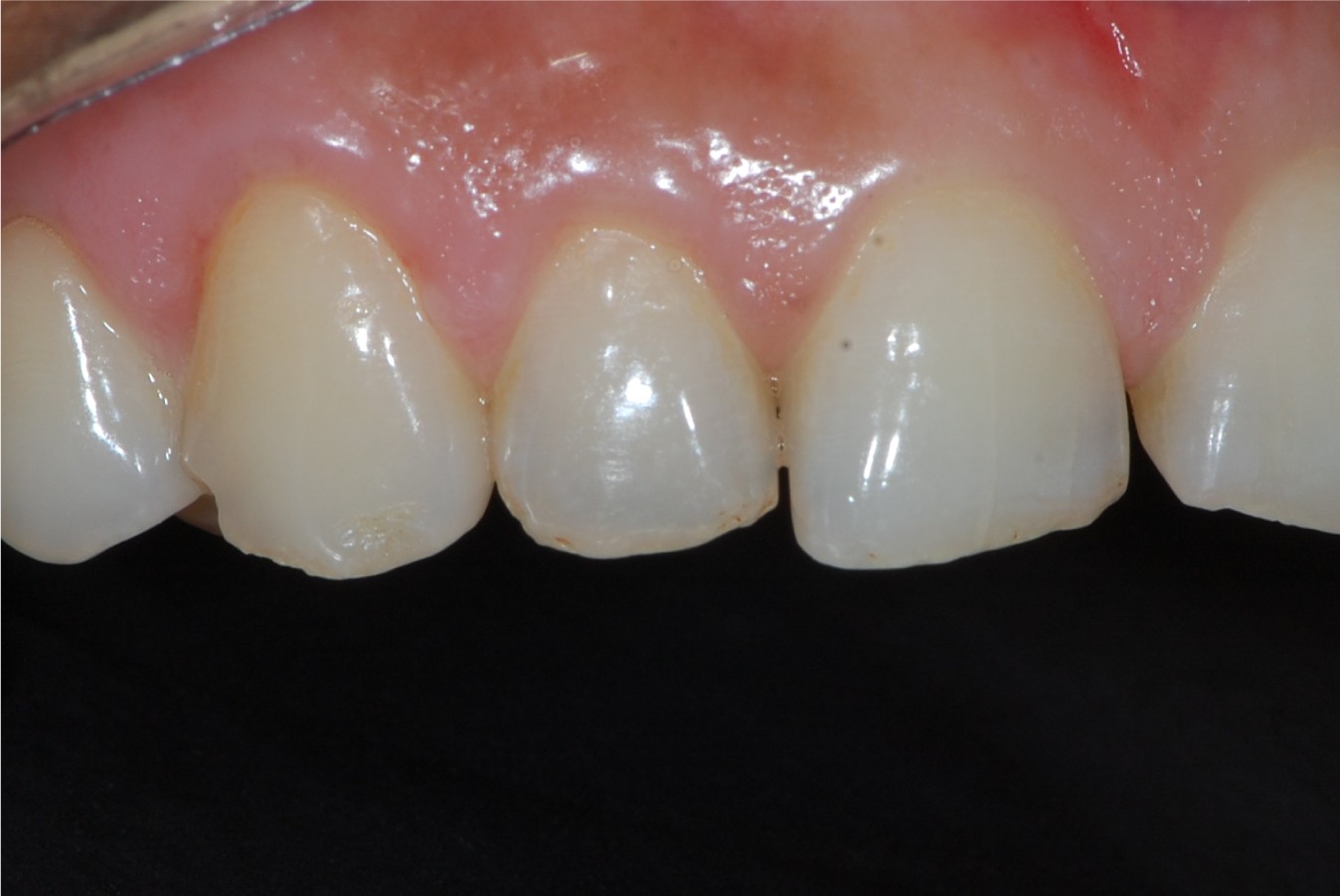
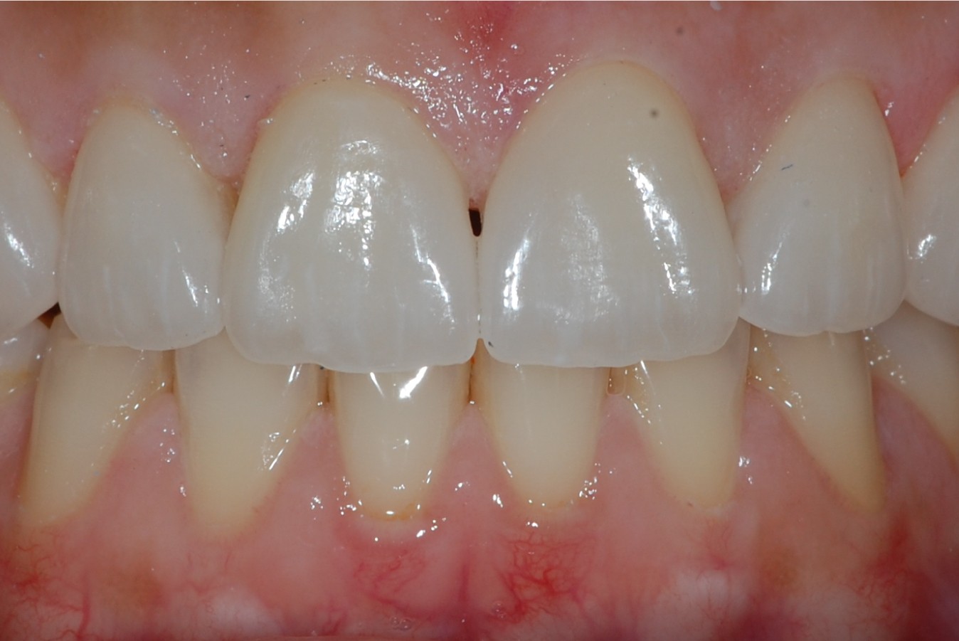
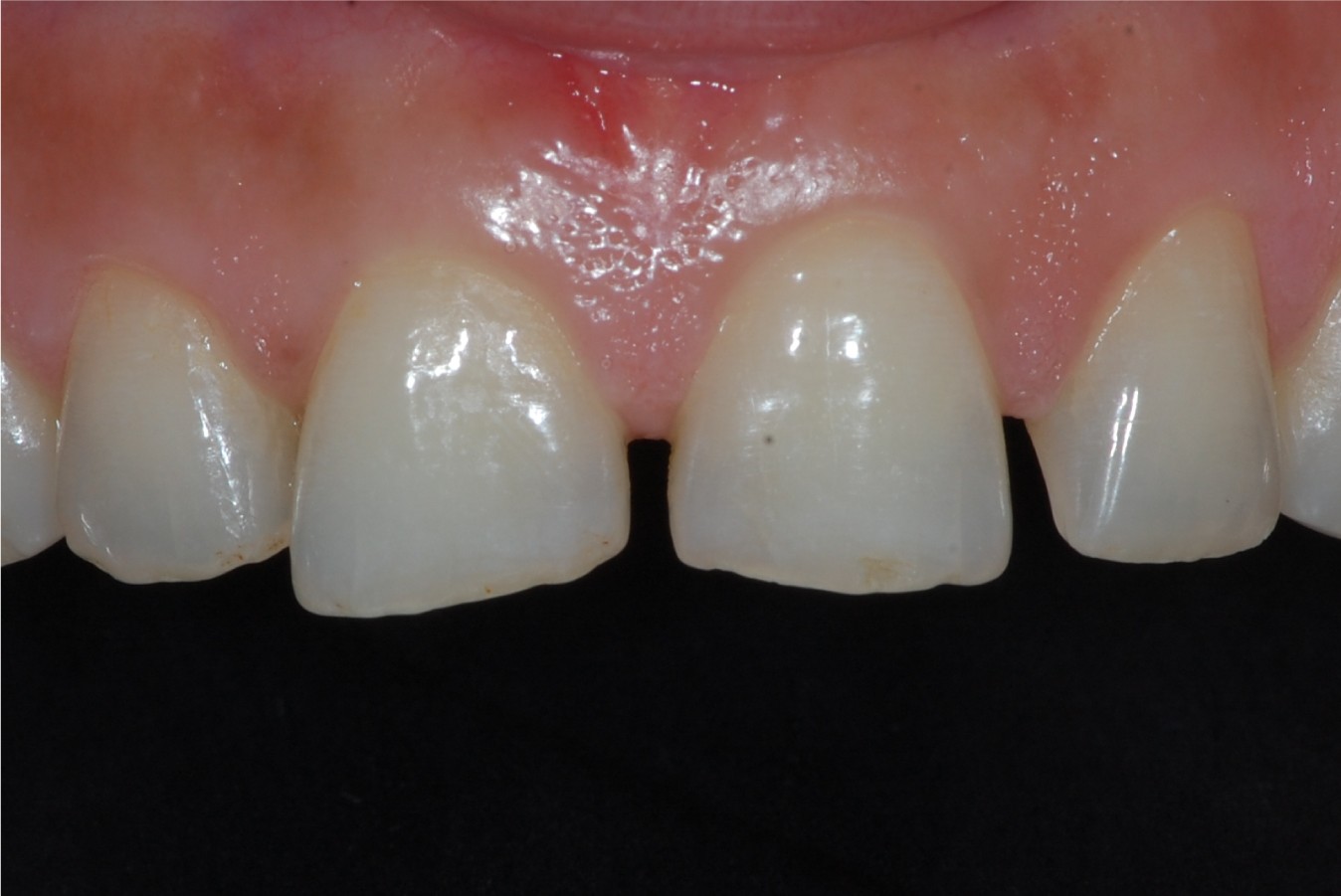
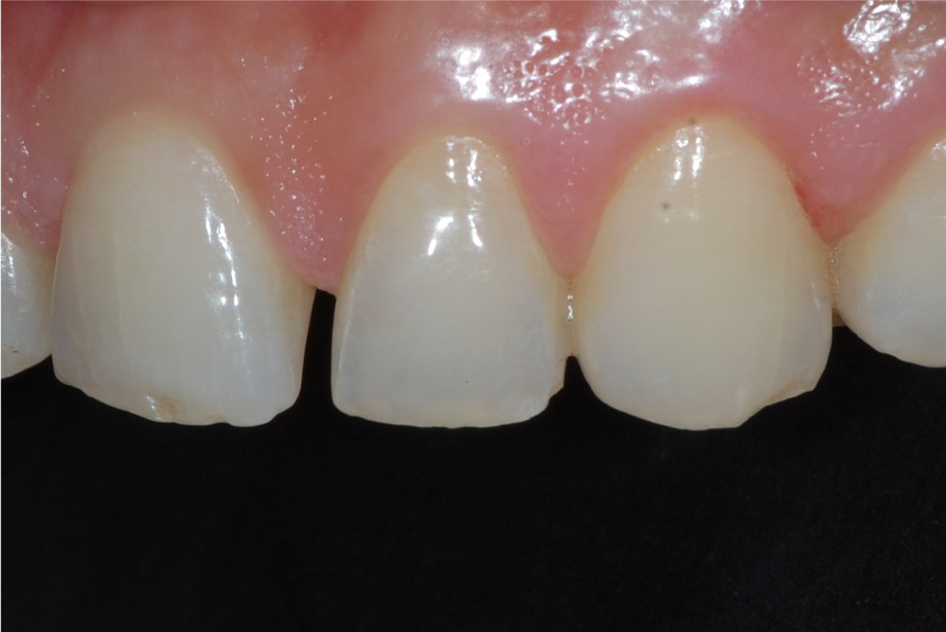
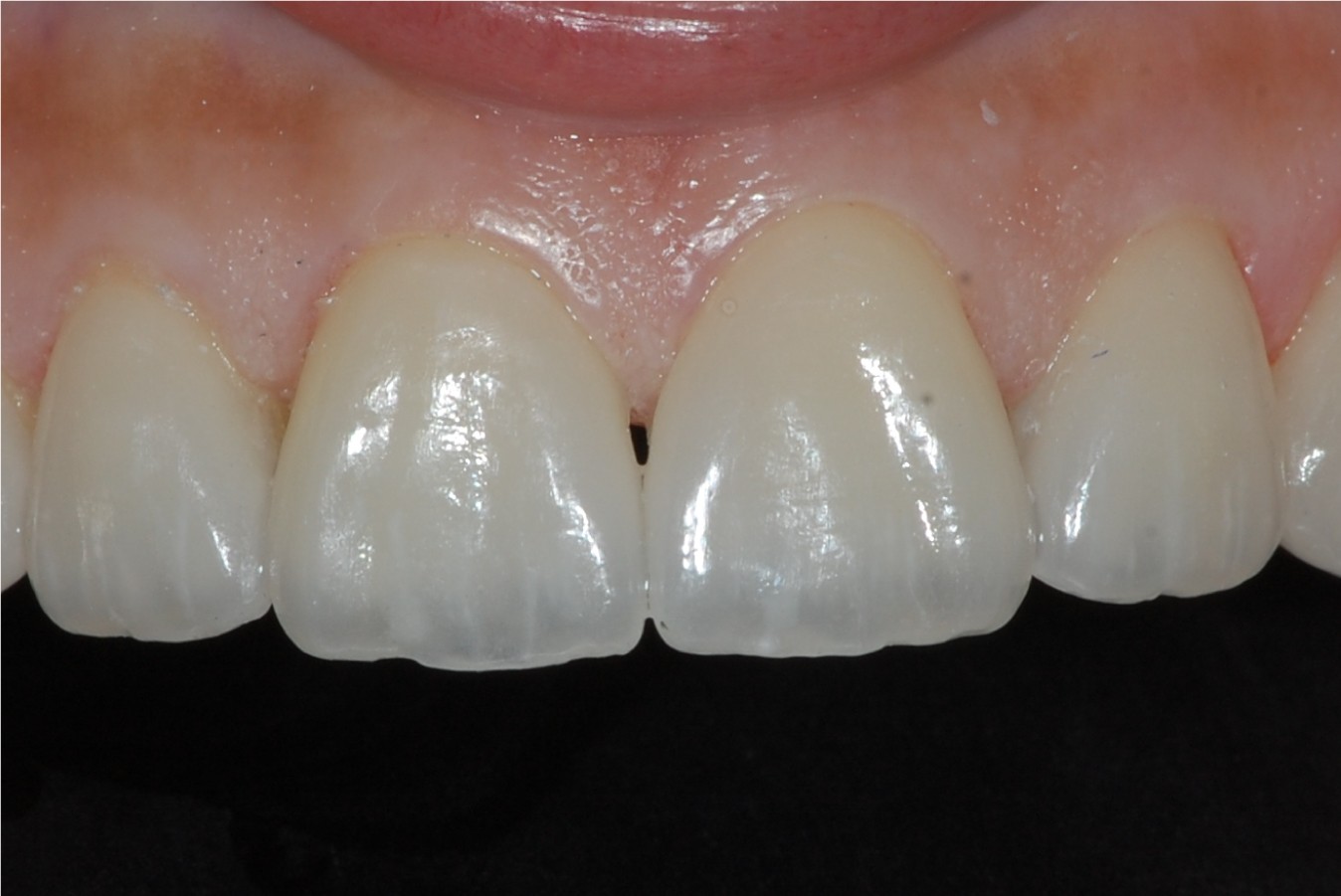
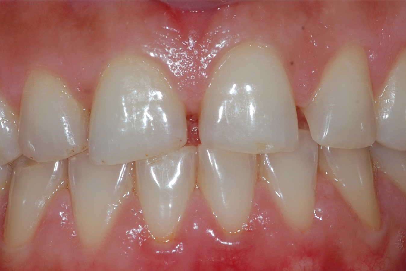
Facetas